|
 |
HOME
> 患者様の声 > えみちゃん矯正治療体験日記 |
 |
 |
 |
| |患者様の声|体験談|治療終了後アンケート| |
 |
 |

受付・助手:砂田 絵美
衛生士の由美ちゃんの後を追うように私も矯正娘になりました!!
経験済みの先輩がいるから安心♪安心♪ |
|
|
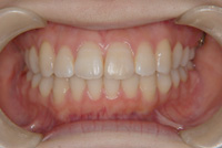
私は歯のかみ合わせが気になって相談にやってきました。相談は、口の中を少し診られて、写真も何枚か撮られて、その後にお話でした。いろんな資料が準備されていて、帰るときには先ほど撮影された自分の口の中の写真もプリントアウトされて渡されました(★∀★)いろんな角度から撮影されてるので自分でも見えない奥の歯までしっかり確認できました。ん〜〜やっぱりキレイに歯が並べば将来的にもたくさん歯を残すことが出来そうだ☆なので、次回検査だー!!♪
|
|
|
検査内容は、レントゲン撮ったり、歯肉の状態をチクチク測られて(ー”ー;)口の型取りしたり(O口O)顔の写真撮って・・・・・・いろ〜んな事をして終了。1ヶ月後に検査結果が出てお話です。
|
|
|
| 自分の歯がどっちにどれだけ(何ミリ)ずれているか、歯がどこに向かってはえているか、今後行っていく可能性のある治療方針のいくつか等々、細々とした事が詳しく分析されていました。自分の親不知が映ったレントゲンを見たのが初めてで、前に向かってはえていたことと、1本無いことにビックリ! ほったらかしにしていても大人しくはえそうにないことがわかり、親不知はいずれにしても早く抜きに行った方が良いことがわかりました。。。 |
|
|
自称『プリンセスめぐ』の森田衛生士が私の顎の検査に立ち会ってくれました。彼女の親切丁寧な手さばきで、私の首から上には自分ではどうなっているかわからない程たくさんの装置が組み立てられていきました・・・!!!!患者の立場の私はただ座ってるだけで特に大変ではないんだけど、端から見たらカナリ大変な状態に(^^;) プリンセスめぐも苦戦していたようです(笑)
装置も外してもらって、顎の開き具合を見ると、まぁ、悪くないかな・・・・?って感じでした。 |
|
|
| 次回の装置をつける前に歯と歯の間にすき間を空ける作業、セパレートをゆみちゃんにやってもらって帰りました。小さな輪ゴムを歯と歯の間に入れ込むだけで、この日はなんの痛みもなく、ちょっと気になる(・〜・)というくらい。ご飯も普通に食べられました♪ |
|
|
普通、大人の人なら歯と歯の間にすき間が空くのは3日〜1週間は必要なのに、私は早速次の日にバンド(金属の輪っか)装着☆あまりすき間も空いて無く、輪っかがはまると強烈な痛みが・・・(++)今日もプリンセスめぐにやってもらいました。私が痛がると優しい言葉をかけてくれるめぐみちゃん、しかし言葉とは裏腹に目が非常に嬉しそう・・・いつもより輝いていた腕の良い衛生士さんです(笑)
バンドにはちっちゃな金具がついてるのでほっぺた側と舌側に当たって、早速口内炎が出来そうな感じでした。しかし、そんな口内炎が出来そうな痛みよりも、セパレートでの痛みがなかったぶん、バンド効果で歯全体が痛み出しました。
今日は超お世話になった先輩受付の藤ちゃん、通称『チピ』の送別会!!!!ぞろぞろとののやまメンバーが焼き肉♪焼き肉♪と嬉しそうに某焼肉店に入店。美味しそうな香りが店内に広がっててみんなのテンションが上がる中、一人痛みに耐えていた私・・・お肉もやってきてみんなが美味しい美味しい♪と言いながら食べてたけど、ものすごいスローペースで、涙が出そうになりながら食べていました。(ほとんど噛めずに「飲んでいた」に近い(TT))こんな私を見て、矯正先輩のゆみちゃんは「うんうん、懐かしいね♪しばらく痛いだろうね★お肉美味しいね♪」と懐かしい眼差しを向けてきて、斜め前に座っていたバイトくん『ズッキー』は、「この肉、どーでした?食べられました?」と聞いてきて選りすぐりのお肉をよそってくれました。その優しさのあまり恋に落ちてしまいそーでした(*▽*)あ、ちょっと言い過ぎた(笑)ズッキーは、ののやまみんなのアイドルです☆ |
|
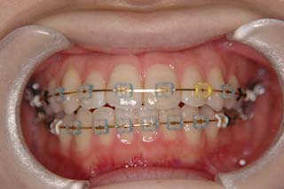
| 7.上顎にマルチブラケット装置装着 |
(18年1月27日) |
|
いよいよ誰でも見てわかる装置、マルチブラケットが装着されました。約40分くらいは口開けっ放しでドキドキしながら付けてもらいました。今日は上の歯だけに装着です。ワイヤーを歯についているブラケットに留めるために付けるモジュール(ゴム)は、全く目立たない透明などもあるけど、うちの衛生士さんはとっても愉快♪
衛生士奥ちゃん:「ね〜ね〜絵美ちゃん、どの色のモジュールにするん?」
衛生士めぐみちゃん:「この色どう?この色のモジュールにしよ〜やぁ♪」
衛生士ゆみちゃん:「うんうん、この色にしちゃいなよ♪黒とかハケ悪いし、これにしちゃいなよ♪えへ・・・えへへへ・・・・
( ̄∀ ̄)σ(口≦llllllo) え?嫌なん?じゃーしょーがないなぁ。じゃ、レインボーカラーにしてよ♪♪♪」
・・・などなど、みんな愛情たっぷり(?)にいじってくれましたΣ(^o^;)
で、結局ピンク色におさまりました。モジュールつけた途端痛みが・・・。今日からまた硬い物とか食べられなくなるなぁ〜と若干憂鬱になりながら帰りました。歯磨きも大変だし、矯正をやっている患者さんはすごいなぁ〜頑張ってるなぁ〜〜☆と改めて感心!! |
|
| 8.下顎にマルチブラケット装置装着 |
(18年1月31日) |
|
今度は下の歯にマルチブラケット装置です♪先生、左下7番を見るやいなや
「・・・ん〜?この7番、変な形してるなぁ。んんんんん〜・・・変だよねぇ?」
付いていた衛生士奥ちゃん:「・・・????変、ですかねぇ・・・?」(^^;)?
先生:「ん〜〜〜・・・」
・・・どうやら私の左下7番の歯の形は 変 らしいです(; ̄Д ̄)(笑)
モジュールは薄紫(^o^)なかなかこの色はお気に入りでした☆上下に装置がついたので今の状態を写真に撮ってもらいました!下の歯並びはガタガタがほとんどなかったので痛みはそんなにないかな〜と思っていたけど、まぁそれなりの痛みはやっぱりありました(^◇^;) 歯磨きもしっかり頑張ろう!
キレイに並んでいくと思うと楽しみだー :*.;".*・;・^;・:\(^▽^)/:・;^・;・*.";.*:
|
|
| 9.インフルエンザにかかり お休みをいただく |
(18年2月6日) |
|
こんな私でも流行にのってしまいました。A型の強力なインフルエンザに・・・ヘ(==*ヘ))))...
休み中、ワイヤーは抜けるしブラケットは外れるし・・・結局ブラケット付け直したのは2週間後。 |
|
| 10.ブラケット付け直し、調節 |
(18年2月23日) |
|
| 今日は3ヶ所も外れたブラケットの付け直しと、初めての調節★ワイヤーが太くなりました。 |
|
|
| 上顎7番に前回もやったセパレート。今日は夜に早速痛みが。 |
|
|
前回のバンドをやったときもセパレートから1日しかたってなく、猛烈な痛みがあったのにもかかわらず、今回もセパレートから1日でバンドです (∇°;;;;) またあの痛みがあるのか〜↓と思っていたら、今回はセパレートの時に痛かった分、バンドでは痛みはありませんでした♪で、今日つけたバンドから針金を口蓋にはわせてつけるトランスパラタルバーの装着★以前採っていた私の歯の模型を基に手慣れた手つきで先生が1本の針金を口の形に合わせて曲げて、曲げて、曲げて、曲げて・・・出来たっ♪( ̄ー ̄//::・'°☆
ってことで、早速それも口の中に。舌に当たってしばらく声が出せませんでした。しゃべっても上手く発せず、とにかく邪魔!!カ行がしゃべれん!!電話に出てもこの日は入れ歯のお婆さんがしゃべってるような感じで・・・ ヽ(  ̄д ̄;)ノ
由美ちゃん「そのパラタルバーにエノキが引っかかるんだよ(失笑)イカとか絡まって飲み込めずに泣きそうになるんだよ・・・ふっ。体験するがいいさ♪」「・・・分かる気がする。恐くて食べれん・・・( ̄〜 ̄;)」 |
|
|
先日、親不知を抜くため某一般歯科さんに行きました。その日は、お口の中をチェックさせてもらうだけ、と言われたのですが、定期的にチェックしている私なので、早速上の親不知は今日抜いちゃいましょう♪と、サクっと抜かれて帰りました。で、今日は下の親不知。上より痛いと聞いてはいたけど、まぁ〜大丈夫でしょう
( ̄ー ̄)と、なめてかかってました。。。えぇ、私が愚かでした・・・
抜歯後は麻酔が効いてて全く痛みを感じなかったので、帰りの足で本屋に立ち寄り、のんびり立ち読みを♪お腹が空いてきたので帰宅することに★家に帰る頃、ジワジワと痛みがやってきました!痛み止めを飲んでもすぐに効くわけもなく、麻酔が完全に切れた時には一人うめいてしまいました
<(T◇T)>
みなさん、抜歯後は寄り道せずに直ぐ帰って痛み止めを飲みましょう!痛い目にあいますよ〜(´▽`;)ゝ |
|
|
|
先日、親不知を抜くため某一般歯科さんに行きました。その日は、お口の中をチェックさせてもらうだけ、と言われたのですが、定期的にチェックしている私なので、早速上の親不知は今日抜いちゃいましょう♪と、サクっと抜かれて帰りました。で、今日は下の親不知。上より痛いと聞いてはいたけど、まぁ〜大丈夫でしょう
( ̄ー ̄)と、なめてかかってました。。。えぇ、私が愚かでした・・・
抜歯後は麻酔が効いてて全く痛みを感じなかったので、帰りの足で本屋に立ち寄り、のんびり立ち読みを♪お腹が空いてきたので帰宅することに★家に帰る頃、ジワジワと痛みがやってきました!痛み止めを飲んでもすぐに効くわけもなく、麻酔が完全に切れた時には一人うめいてしまいました
<(T◇T)>
みなさん、抜歯後は寄り道せずに直ぐ帰って痛み止めを飲みましょう!痛い目にあいますよ〜(´▽`;)ゝ |
|
|
|
| 先日の抜歯の時、先生が頑張って私の親不知と格闘し、力あまってブラケットが1箇所外れてしまったのでその付け直しをしました(^____^)そしてちょびっとワイヤーが太くなりました。そして楽しみ(!?)のモジュールカラー、今回はなんと5色!!まぁ〜〜・・・ハデになりました。 |
|
|
|
先日の親不知を抜いた傷も癒えたので、本日はもう片方の親不知の抜歯です!先日、非常に痛いことになったので、今回は前回の失敗を冒すまい!!と意気込んで行きました★
先日と変わらず先生はとっても親切丁寧にやって下さいました(*^0^*) 矯正装置も付いてるうえ、口が小さくて開きにくいから先生も「ごめんなさいね〜、引っ張りますよ〜。頑張ってくださいね〜」と頻繁に言ってました。。。こちらこそ、こんな口でごめんなさいぃぃぃ
m(_ _)m って感じでした。
今日は抜き終わったら速効帰りました。痛み止めも飲んだけど、今回は結構痛みも続いて大変でした。こんな経験もこれで最後♪ |
|
|
|
気づかぬ間に一番奥のブラケットが外れていました^^; なので今日は付け直しと調節☆ワイヤーを更に太いのにしようとしましたが、まだ歯があまり並んでいなかったようで、一番奥の歯にワイヤーがはまらず、めぐみちゃんは眉間にシワを寄せながら
「・・・ん〜〜〜〜〜!!!もぉ!入らん!!(ー'`ーメ)」
そして先輩の由美ちゃん登場☆
「・・・・!!!(ー_ー ) ・・・・・・・・・・・ (ノ`△´)ノ 先生!入りません!!」
てことで、今回はワイヤー変えずにもう1ヶ月ほど様子をみることに。
痛みもないのでなんだか物足りない(?)調節となりました( ̄ ̄ー ̄ ̄) |
|
|
|
今日もめぐみちゃんにやっていただいた (*´ー`) クリーニング中、私がしゃべれない状態を良いことに、一人別世界に行ってしゃべり続けていた姫。そ〜と〜盛り上がっていました。。。さすがです(笑)さぁ!今度こそは太いワイヤーになるだろう!!と意気込んでいましたが、、、やっぱり入りませんでした。なので今回は柔らめのワイヤーで少し太めに変更♪
今度のモジュールは、今月始まるサッカーワールドカップに向けて、笑って見える部分には日本ユニフォームカラーの青、そしてワッペンの黄色として、歯1本だけ黄色。両奥歯にはサッカーボールカラーとして白と黒のモジュール・・・
w(@。@;)w 任せて♪と言っためぐみちゃんを放置していたらこんなことになりました!!!! この青はちょっと・・・って事で、水色に変えてもらって
σ(^_^;
ののやまのモジュール見本として、話題提供に奮闘しております♪
|
|
|
|
今日は私のインプラントの施術日となりました。
プラントしては、上顎左右の7番と8番の間の口蓋(舌)側。普通は頬側が多いんですが、なぜ口蓋側なんですか先生!?><
それは3月に親不知(8)を抜いたばかりで、まだ骨が出来ていないから、ということでした。
それから、私の歯を動かす向きが一方だけではなかったので、もう1本、口蓋側に・・・
(◎_◎;)合計3本の予定になりました。
かった〜い口蓋側にうつ事にかなりビビってたんですが、今日まず最初に打ったのが、口蓋側の1本。。。なかなか入らず、骨をちょこっと削って入れました。麻酔をするとはいえ骨の音はするし、ope系に慣れていない私、結構怖かったですT△T
みんなは目をキラキラ輝かせながらやってた様ですが・・・!!衛生士って、すごいですね★
右奥はすんなり入り、左奥はやはり骨ができてなかったようで、プラン変更!次回プレートタイプのもの(SMAP)をうつようになりました。
今回はなかなか大変な作業でしたが、頑張ってくれた先生、みんな、ありがとうございました!!!!
痛み止めも飲んで挑んだけど、終わったあともじわじわ痛みが出てきたので、2時間経ってまた痛み止めを飲んで今日の仕事を乗り切りました。
口蓋側に打つということで、邪魔になってしゃべりにくいのでは! ( ̄Д ̄;)
と結構心配してたけど、意外とちょこっとしか出てないので、パラタルバーに比べれば全然余裕♪\( ̄▽ ̄)/な感じ。でも、ちょっと舌が擦れて痛いくらいでした。痛み止め常備でがんばろー♪ |
|
|
|
晩、痛みにうなされるかと思いきや、爆睡( ̄ ̄▽ ̄ ̄) 朝からも全く痛みはなく、もちろん出血も皆無。ご飯もいつもと同じように食べられて、インプラントが入っていることを忘れてしまうほど違和感もほとんどありませんでした。\(・▽・)/ステキ☆
でも、とりあえずお昼ご飯を食べた後は消毒してもらいました。このとき触られて痛かったですが、順調に植わってます☆ |
|
|
|
今日は前回スクリューができなかった左奥へのスマップを埋め込む日。
麻酔もしっかり効いててやってる間はガリガリ・・・チュィ〜ン・・・ゴリゴリ・・・・と聞こえて多少怖かったけど痛みはなく順調でした♪
ただ、場所が場所なだけに先生が苦戦していたようです。。。終わってからどんなになったのか自分で見てみました・・・!!
(°θ°;)
こんなところによく出来たな!!って感じの場所に、見事な仕上がりとなってました☆
時間は約1時間。終わる頃には麻酔も覚め始めジワジワと痛みが襲ってきて、チェアーから立つ頃には涙がじわ〜〜〜っと出そうな程の痛みが><。 親不知の抜歯をした時の痛みに似てました。終わってからすぐ痛み止めを飲んだけど全然効いてなかったような・・・しばらくその痛みのせいで頭が働かず、仕事になりませんでした^^;
施術直後から少し頬が腫れてましたが抜歯の時ほどではなかったです♪でも痛みは夜まで続き、食事を摂る気にはなれず、スクリューをした日と同様にウィダーインゼリーと薬を飲んで就寝★
翌日にはあれだけ痛かった痛みもなく食事もいつも通りに摂りました。でも引きつってる感がまだあったので気を遣いながらですが★食事後、歯磨きをして、イソジンでうがいを・・・・!!!!!!うがいした直後ものすごいしみて、その後もしばらく痛みが続き、痛み止めを飲む程ではなかったものの焦りました@@; |
|
|
|
微調節が数ヶ月続き、「そろそろ外せるの?」と患者さんから声をかけていただく日が多くなりました。本日はいよいよ仕上げに入ってきた!!??
すき間がすこ〜〜し足りないということで、 ストリッピングを一部の歯に施しました。
ワイヤーをつけてくれた奥ちゃんは
「絵美ちゃん、今日はすごい針金が入ってるし、ストリッピングもしたから2、3日は痛むよ〜(^▽^;)」と言いながら針金をとめてくれました。
予告通り、久々に激しい痛みがあり、珍しく痛みで夜2、3回目が覚めました(@@;)
4、5日くらいで痛みは落ち着きました♪ |
|
|
|
今日で調節最後になりました!次回撤去予定です!!!わ〜〜〜〜い!!!!!
なので今日は撤去後にセットする装置の型取りをしてもらいました☆
丸2年間のマルチブラケットとの付き合い、長かった矯正治療・・・いや、まだ過去形ではないですが^^;
これまでにたくさんの方のマルチブラケットの撤去を見送ってきましたが、いよいよ私の番だ〜♪撤去の日を楽しみにしています
o(*^^*)o |
|
|
|
今日は朝起きると外は一面雪景色でした♪
そんな今日は待ちに待ったマルチブラケット撤去の日!! ヽ(´▽`)/〜♪
丸2年という期間を共に過ごしたこのブラケットとも今日でサヨナラです。。。なんだか寂しい
( ´△`)
忙しい中、毎回調節をしてくれ、ミニスクリュー、SMAPもして下さり、最後まで私のわがままをきいてくれた先生、本当にありがとうございました!!!!
いろんなアドバイスをして下さった真理先生、ありがとうございました!!!!
今時間あるから調節してもらいんさい☆って言ってクリーニングを念入りにしてくれた衛生士のゆみちゃん、めぐみちゃん、奥ちゃん、山本さん、どうもありがとう!!!
私の口の模型を愛情込めて作ってくれた技工士のゆうちゃん、そして装置を丁寧に作って下さった越智さん、お世話になりました!ありがとう!!!
私が受付業務が出来ない調節中、電話を受けてくれた事務の福ちゃん、ありがとう!!!
大変お世話になったみんなにご挨拶し、いよいよ装置を外します☆ドキドキ☆★☆★
 |
 |
下の装置はめぐみちゃんに外してもらい、上の装置は奥ちゃんに外してもらいました。
1つ目のブラケットを外した時、歯がちょこっと動く感じで痛かったですが、その他は順調に大きな痛みもなく外してもらえました。 |
これはバンドを外す時です。
☆ ̄(>。☆)
|
 |
 |
 |
 |
これが長年お世話になったブラケットとバンドとワイヤーの亡がら・・・
ヾ( ̄◇ ̄)ノ)) グッバイ★ |
装置が外れたら接着剤をキレイに取って、最後に仕上げの歯磨き粉で歯を磨いてもらったら終了!!めっちゃつるつる〜〜〜〜!!!!☆.。.:*・°☆.。.:*・°☆.。.:*・°☆.。.:*・°☆
|
 |
 |
 |
 |
久々のこの歯の感触☆でもガタガタはなくなってるので超感動!!!\(▽^\)(/^▽)/
とっても歯磨きがしやすくなりました♪ |
今日は時間がないのでここまで♪次回ミニスクリューとSMAPを撤去します!
診療後、思いがけず先生より撤去祝いをしていただきました (* ̄∇ ̄*)
先生、真理先生、ゆみちゃん、めぐみちゃん、奥ちゃん、ゆうちゃん、福ちゃん、山本さん、越智さん、この2年間の矯正治療 本当にありがとうございました。
m(_ _)m アリガトォ〜★
マルチブラケットは外れましたが、今日から保定期間突入☆今後はしばらく、ダイナミックポジショナーという装置を夜はめて寝ます。がんばるぞっ!
|
|
| 25.ミニスクリュー、SMAP撤去 |
(20年3月5日) |
|
前回時間がなくて外せなかった、ミニスクリューとSMAPの撤去をしました。
先日ライブドアの“ののやまスタッフブログ”を開設したのはみなさんお気づきでしょうか♪♪♪
この開設に伴い、火がついたのは先生(ノ-∀-)ノ === ∋=>着火≫ゴォォォォッ
「ブログに載せるために、写真とか、動画とか、じゃんじゃん撮ってね♪」
そして早速ネタに使われるであろう、本日の撤去。カメラマンはめぐみちゃん☆
ミニスクリューは表面麻酔のみで外しました。痛みはないけれど、何かがクルクル回って、あ〜〜抜けてる抜けてる
◎( ̄Д ̄)◎ という感じ。あっとゆー間に外れました♪
SMAPはしっかり麻酔をして、いよいよ外します!というところから施術&動画撮影開始。
数十分によるSMAPとの格闘・・・
めぐみちゃんは、切開部分をカメラで映そうと夢中になるあまり、先生の手にぶつかったりしていたようです
|・) ジー ( °o°)ハッ
無事SMAPも外してもらい、傷口も小さくて済んだようなので縫うことはありませんでした☆
これで、本当に全ての装置を撤去して、口の中がスッキリしました〜 (o ̄▽ ̄o)
診療後には、撤去祝い、そして数日後の誕生日を兼ねてのお祝いをしていただきました!!
ありがとうございます Thanks ☆☆** v(o^▽^o)v**☆☆
Thanks
お食事会でのエピソードは“ののやまスタッフブログ”に載せてありますので、良かったらのぞいてみてくださ〜い♪
ちなみに、録画した撤去時の動画は、みんなで観てみましたが、「この映像、ブログに載せるにはちょっと・・・・血がぁぁぁぁヽ(*ヘ*;)ノ 」ということで、載せるかどうかは考え中です。 |
|
|
|
|
|
|
|
|
| (C) 2008 Copyright
NONOYAMA ORTHODONTIC CLINIC Allrights Reserve |
|