 |
trauma(トラウマ) |
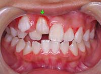
前歯を強くぶつけたことがある??
外傷歯には、外力に伴う歯の破折、脱臼などがあります。必然的に上顎前突傾向の人で、上の前歯に生じる確立が高いです。外傷が発生した時点で保存が可能で有れば、歯髄処置を施した上で歯冠修復をしたり抜歯窩へ再植を行ったりします。
その時は問題なく治ったけど、その後、問題が起こるの?
外傷を起こした時点で歯根未完成の時は歯髄壊死を起こして歯根が短いままになる場合もあります。歯根膜に傷が入り将来的には歯根吸収、歯根癒着、歯根癒着に伴う歯槽骨劣成長・歯の低位を示すこともあります。歯槽骨骨折や歯根吸収に伴う骨殖の弱さから動揺を来したり、傾斜移動、挺出などの変化を起こすこともあります。これらの理由で噛み合わせの問題:開咬や上顎前突を呈していることも多いです。条件が極めて良ければ一生持つかも知れませんが、高い確立で歯を失うことになると思われます。
矯正治療と関係があるの?
非常に条件の悪い歯と考える必要があります。抜歯ケースで有れば抜歯の該当歯をして扱うか、将来的に補綴的な処置を念頭に入れる必要があります。 |
|
|