 |
sectional arch(セクショナルアーチ) |
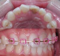
一部分のみマルチブラケット装置を装着します。たとえば、前歯だけを配列したい場合などに用います。奥歯のブラケットと併せてU-archと呼ばれる針金を装着する場合もあります。また、臼歯だけに装着することもあります。
一部の矯正治療(MTM)の場合や、小児期で用いることが多いですが、バイオプログレッシブという治療体系ではマルチブラケット治療の流れとして用いることもあります。
ブラケットと針金が装着されますので、歯磨きに気を付けることと、壊れやすいので食事の際に部品を壊すような噛み方は控えて下さい。また壊れたり異常な痛みがある場合は連絡して下さい。 また当院で定期的にチェックを続け虫歯のリスクコントロールは行いますが、虫歯の治療は行っておりません。かかりつけの歯科にも定期的にチェックを受けましょう。 |
|
|