 |
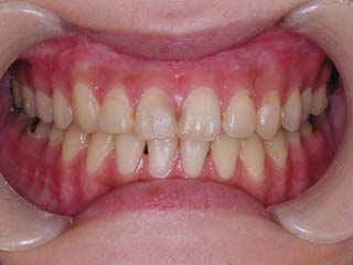
before |
|
極めて強い側方変位を認めます。前後的・垂直的な問題は見られません。大きなズレであれば、外科的に骨のズレを改善する治療が選択されます。横断的な問題はその他の不正咬合と比較して、解決がかなり難しい事が多いです。治療後の後戻りが頻繁に見られる不正咬合ですので、外科矯正での改善が望ましい場合も多いでしょう。
このケースでは、外科手術は、上顎の傾斜の改善をLeFort1にて、下顎の正中の改善をSSROにて行いました。 |
|

 |
after |
|
動的処置は1年半ほどでしたので、通常のマルチブラケット治療と治療期間は変わりません。大きく非対称の程度が軽減されたと思います。今後は保定治療に移行し、数年にわたって咬合の安定状態を管理していきます。
保定治療中です。概ね2年経過した所ですが、概ね安定を保っているようです。矯正治療の大切な事の一つに、いかに良い状態を長い年月維持させ続けるか ということも有ります。矯正治療は動かした後の保定治療も重要です。もちろんそれ以上に、そもそも安定しうる治療ゴールを目指していたのかが、保定治療で問われているモノかも知れません。
|
|
|
|