 |
before |
|
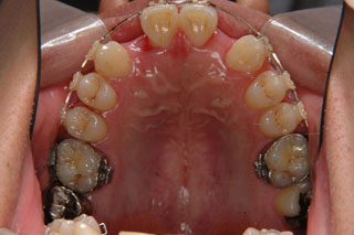
下顎前突が見られます。上顎の左右の側切歯(2番目の歯)は先天欠如でした。最近まで左上の乳犬歯が残っていた跡が見られます。下の歯は叢生も見られません。先欠の対応では素直に考えて人工的に歯を補う補綴処置が第一選択肢になります。矯正治療では、しばしば抜歯を行う事が多いので、先欠が在れば、その他の歯を抜歯して解決する事も多いですが、この方の場合は非抜歯の計画に致しました。
非抜歯での治療になりましたので、上顎の中切歯と犬歯の間に側切歯のスペースを作っている所です。もともと歯が無かったために、前方にも側方にも歯槽骨が少なく傾斜移動が多いので慎重な移動が求められます。 |
|

 |
after |
|
2年半ほどの治療で、装置を撤去し保定治療に移行しています。2番目の側切歯には人工的な歯を入れるため、インプラントをする事になりました。この時点で欠損部の粘膜の下にはフィクスチャーが埋入されています。
保定治療に移行してから2年半が経過しました。インプラントの上部構造も装着され、咬合も安定している状態です。下顎前突で上顎側切歯に先欠があると、下顎の小臼歯抜歯で対応する事も多いかも知れませんが、出来れば上顎の犬歯と下顎の犬歯を咬合させた方が、長い目で考えるとメリットが多いと考えています。 |
|
|
|