叢生 上下顎前突
上下左右小臼歯抜歯 フルリンガル
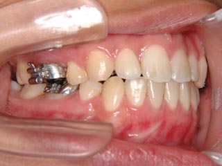
リンガル
 |
before |
|
ガタガタと口元が飛び出ていることを両方治そうと思うと、抜歯が避けられません。小臼歯を抜くと悪い!という人も居ます。第一小臼歯は上下の噛み合わせの垂直的な位置を決定する大きな要素で、だからこそ歯根も二根管で立派なのだと。しかし前歯も糸切り歯も噛み合わせが悪いままでは具合が悪いでしょう。もし歯を抜かずにもっと歯を前方に傾斜させて並べたとしたら、前歯の噛み合わせが機能できなくなるでしょう。より美しい仕上がりにするために患者さんと話し合い小臼歯抜歯を行いました。
最近はワイヤーにしてもかなり良い材料が多いので、痛みも少なく良く動くようになりました。内側の装置が希望ということでフルリンガルの装置を付けています。
かなり配列が進んできました。ここからは顎や顎関節の位置関係などに注意を払いながら隙間を閉鎖していきます。
|
|

 |
after |
|
いくつか気になる点も残っていますが、もうそろそろ保定治療に移行してもいい頃になりました。 |
|
|
|