叢生
非抜歯 ハーフリンガル
リンガル
 |
before |
|
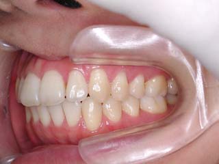
幾つかの条件が揃っていないと非抜歯での矯正治療は難しいです。顎の大きさと歯の大きさのバランスや、配列された歯並びが正しく噛み合う為の上下の顎の位置関係が大切です。ガタガタの強い人をむやみに非抜歯矯正を行うとどうしても前歯を前に出したり、歯並びを横に拡げたり奥歯を後ろに押し込めたりします。平面的な問題に留まらず、顎の関節を含めた三次元的な評価が欠かせません。ガタガタの程度が中程度でしたので、なんとか側方拡大にて非抜歯の対応が可能と考えて治療を開始した方です。
上の歯は内側の装置・舌側矯正・リンガルブラケットを付けています。いわゆるハーフリンガルなどと呼ばれている方法です。少し歯槽性上下顎前突の傾向が有りますが、プロファイルが悪くない事と、レントゲン写真の分析データが標準値以内に収まっていたので悪くないと思います。
|
|

 |
after |
|
装置撤去です。動的処置は2年弱でしたので、比較的短い治療期間でした。極めてよい咬合状態が得られたと思います。今後は保定治療に移行し、数年にわたって咬合の安定状態を管理していきます。
|
|
|
|